Save
S1
Histology
2.1 Epithelial tissue
Save
Share
Learn
Content
Leaderboard
Share
Learn
Created by
Beatrice Jumeau
Visit profile
Cards (35)
What attaches cells to connective tissue?
A non-cellular
basement membrane
View source
What is the composition of the basement membrane?
A mixture of
carbohydrates
and
proteins
View source
What is the primary function of the basement membrane?
It anchors the
epithelium
to
adjacent
tissue
View source
Is epithelial tissue vascular or non-vascular?
Non-vascular
View source
How does epithelial tissue obtain nutrients?
By transport from underlying
connective tissue
View source
What are the functions of epithelial tissue?
Protection from
environmental
conditions
Transport of substances (e.g.,
renal tubules
)
Absorption (e.g., intestine)
Secretion (e.g., glands)
Stimulus reception (e.g., olfactory epithelium)
View source
What role does keratin play in epithelial protection?
It strengthens epithelial cells against mechanical stress
View source
How does melanin protect epithelial cells?
It protects against
UV-induced photodamage
View source
What is the function of mucus in the stomach?
It protects the
stomach wall
from
acid
View source
How does mucus in airway epithelium protect against pathogens?
It forms a barrier preventing
microorganisms'
entry
View source
What types of transport do epithelial cells use?
Active transport
Passive transport
View source
What is the role of enterocytes in absorption?
They absorb nutrients like
glucose
from the lumen
View source
What percentage of glucose is reabsorbed in the proximal convoluted tubules?
100%
View source
How does fluid secretion occur in the small intestine?
Solutes draw water into the lumen by
osmosis
View source
What type of epithelium is involved in sensing smell?
Pseudostratified columnar epithelium
View source
What are the main cell types in the olfactory epithelium?
Basal cells
, supporting cells,
olfactory cells
View source
What are the characteristics of simple epithelium?
One layer of
cells
Functions in
diffusion
,
absorption
, or
secretion
Not found in areas with
mechanical stress
View source
What is the function of simple squamous epithelium?
Passive transport
(
diffusion
)
View source
What is the structure of simple cuboidal epithelium?
Single layer of
cuboidal cells
View source
Where is simple cuboidal epithelium located?
In
collecting tubules
and
thyroid follicles
View source
What are the characteristics of simple columnar epithelium?
Single layer of tall, thin
cells
View source
What are the functions of cilia and microvilli in columnar epithelium?
They aid in
absorption
and
secretion
View source
Why is pseudostratified epithelium named so?
It appears
multilayered
but is actually simple
View source
Where is pseudostratified epithelium located?
In
respiratory epithelia
and
epididymis
View source
What is the function of stratified epithelium?
Provides protection against
physical stress
Related to the degree of physical stress exposure
View source
What is the role of non-keratinized stratified squamous epithelium?
Protects
against
abrasion
and
reduces
water
loss
View source
Where is non-keratinized stratified squamous epithelium found?
In the
vagina
,
esophagus
, and
mouth
View source
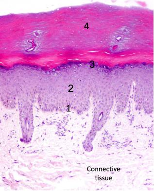
What characterizes keratinized stratified squamous epithelium?
Upper
layers
are
dead
and filled with
keratin
View source
What is the structure of the epidermis?
Stratum basale
, spinosum, granulosum, corneum
View source
Where is cuboidal stratified epithelium found?
In
exocrine glands
like
salivary glands
View source
What is the function of transitional epithelium?
Allows
distensibility
in the urinary tract
View source
Where is transitional epithelium located?
In the
renal calyces
,
ureters
, and bladder
View source
What are the four basic types of tissue in the body?
Epithelial tissue
Connective tissue
Muscle tissue
Nervous tissue
View source
What are the general characteristics of epithelial tissues?
Widespread throughout the body
Cover
body surfaces
and line cavities
Avascular
and
aneural
Perform various
functions
(protection, secretion, absorption, etc.)
View source
What are the embryonic origins of epithelial tissues?
Ectoderm
:
epidermis
,
nervous system
Endoderm
: lining of
digestive
and
respiratory
tracts
Mesoderm
:
urinary epithelium
,
circulatory system
View source